心肌$达芬奇曾画出心脏细微结构图,如今专家分析25万张图像才找到
达芬奇是世界公认的绘画奇才,他生前所绘制的画作有许多流传至今,例如《蒙娜丽莎》、《最后的晚餐》等等。但实际上达芬奇除了是一位画画领域的旷世奇才之外,他精通许多领域的技能和知识,比如数学、天文、生物、机械等等。达芬奇生前绘制了许多手稿,这些手稿有一部分同样流传至今,成为证明他一生之卓越的证据。
【 心肌$达芬奇曾画出心脏细微结构图,如今专家分析25万张图像才找到】

文章插图
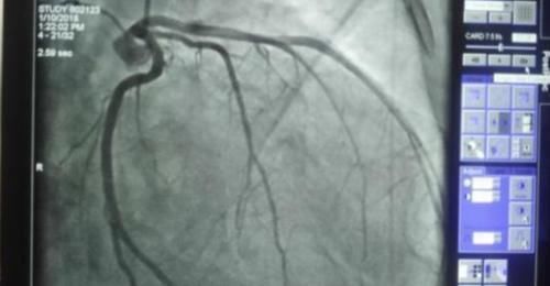
在达芬奇流传后世的众多手稿中,有学者注意到了一幅绘制心脏结构的解剖图,图中还明显地将心肌小梁给画了出来。前段时间欧洲分子生物学实验室在《自然》期刊上发表了一篇关于心脏结构最新认知的论文,研究人员通过研究和分析2.5万张磁共振的心脏图像,发现心肌小梁或许还有更多功能。

文章插图
心肌小梁是人体心脏中一个比较细小的结构,近现代医学研究表明它在心脏发育未成熟阶段发挥较大的作用,心脏发育成熟后似乎不起作用了。研究发现,受精卵进入母亲的子宫后会经过一个月的发育,然后胎儿体内的器官开始生长,最先生长的是心脏。由于心脏的发育需要氧气和热量,而那个时期心肌小梁已经形成了,因此它被认为负责了供氧和供热。

文章插图
简而言之,心肌小梁这个机构在以往的医学研究中并未得到重视,因此它的潜在功能也一直未被发现。直到欧洲分子生物学实验室的研究人员对来自英国生物样本库的2.5万张心脏磁共振图像进行研究,才进一步认识了心肌小梁的生理作用。研究人员发现,心肌小梁的存在使得血液在流动的时候受到更多的阻力。
这减缓了血液流动的速度,从而使得心脏得到更多的氧气和热量。如果缺少心肌小梁的话,血液流经心脏的速度会加快,这对心脏的正常工作是不利的。最早对心脏进行研究的是古希腊医学家盖伦,由于那时候的解剖学并未发展起来,因此他凭借临床实践经历提出了“心脏是一个硬块”的说法。同时他还认为神经系统的起点是心脏。

文章插图
在盖伦之后,公元11世纪的欧洲出现了一位名为阿维森纳的医学家,他受到亚里士多德思想的影响,对心脏有进一步的认识。之后解剖学在中世纪的欧洲兴起,以达芬奇为代表的画家对人体结构进行了绘制,这些绘制在当时是大胆且冒险的。这次欧洲分子生物学实验室提出的发现让世人再一次认识到,人体内还有许多奥秘等待着我们去发现。

文章插图
心脏对于人体的重要性就如同发动机对于汽车的重要性,只有心脏能够正常跳动,体内的血液循环才会正常。现在心肌小梁的新作用被发现了,人类对心脏的了解又多了一点,这对未来的医学治疗应该是有帮助的。人体构造要比许多动物复杂得多,因此人体内还有许多未知的奥秘,希望我们都能尽早发现。
- 日心@达芬奇为何被质疑是穿越者?你看他当年的手稿有多超前,就明白了
- 艺术|【观展】近距离感受达芬奇!这场沉浸式光影展,你确定不来吗?
- 达芬奇#中书协书法大家王和平,精选杰出立轴行书欣赏,苍劲灵秀神韵十足
- 三杰#达芬奇为何被质疑是穿越者?专家:你看他当年画的手绘图,就懂了
- 艺术|佛罗伦萨市长:“时光·宝藏—对话达芬奇”沉浸式光影艺术体验展颠覆传统
- 心肌缺血$经典名方100首研究概要【二十二】
- 人物&他是法国画坛巨匠,师从亲戚,曾画出世界名画《马拉之死》!
- 历史|“时光?宝藏——对话达芬奇”沉浸式光影艺术展即将亮爆登场
- 阿维森纳!达芬奇曾画出心脏细微结构图,如今专家分析25万张图像才找到
- 张卫星&达芬奇为何被质疑是穿越者?科学家:你看他画的手绘图,就明白了
